Wie versorgt man Erosionen?

Vortrag im Kaufleuten Zürich: Minimal-invasive Lösungen für Zahnerosionen

Am 28. November hielt Alexis Ioannidis im Kaufleuten Zürich einen Vortrag zu einem wichtigen Thema: Erosive Zahndefekte und deren Behandlung.

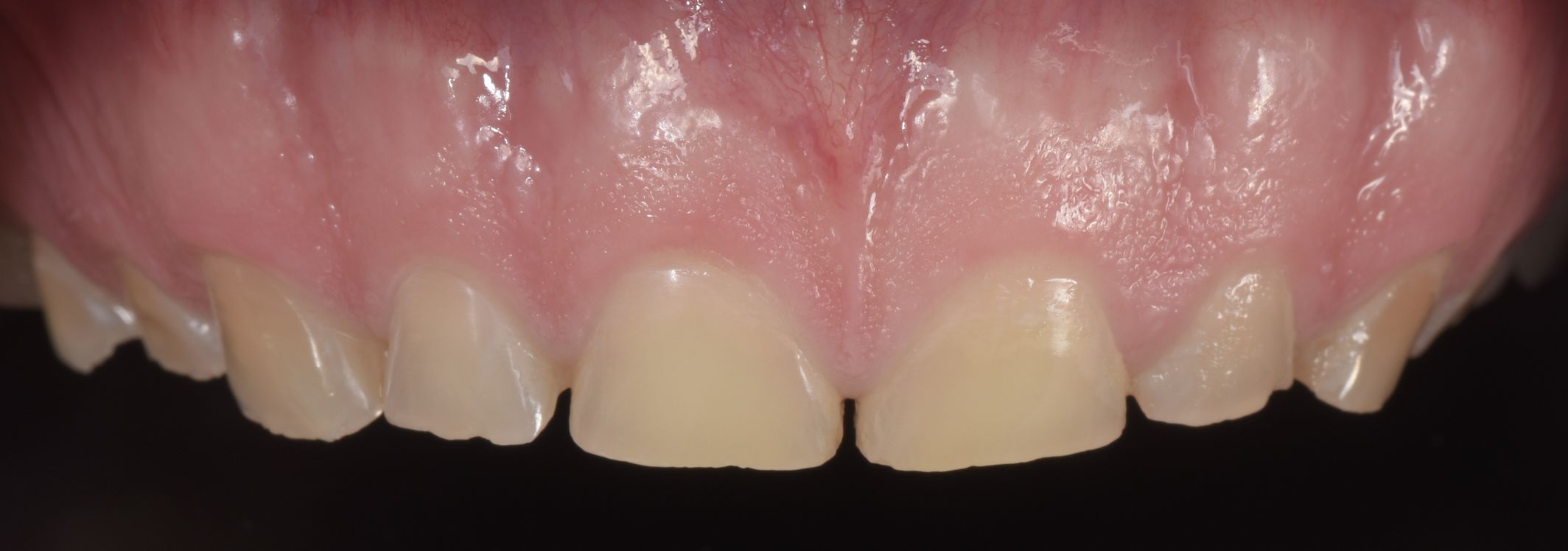
Wie entstehen Erosionen?

Erosionen entstehen durch den direkten Kontakt der Zähne mit Säuren, etwa aus Fruchtsäften, Softdrinks oder Magensäure bei Reflux. Sie führen zu empfindlichen, abgenutzten Zähnen, beeinträchtigter Kaufunktion und führen zu ästhetischen Problemen.

Moderne Therapiemöglichkeiten

Heute setzen wir auf minimal-invasive Lösungen mit hochwertiger Keramik. Diese Materialien erlauben es, Form, Funktion und Ästhetik der Zähne nachhaltig und in einer natürlichen Erscheinung wiederherzustellen.

 

Haben Sie Fragen zu Zahnerosionen oder abgenutzten Zähnen? Kontaktieren Sie uns – wir beraten Sie gerne individuell!